

“从没见过感冒能让人休克的情况。”回忆起11岁女儿瑶瑶(化名)的生病过程,家住茂名的王先生(化名)仍心有余悸。前段时间,瑶瑶因普通感冒发烧引发罕见凶险脑病,一度昏迷休克,辗转就医后才脱险。
11岁女孩感冒后多次发热,大脑出现病毒感染症状
据王先生回忆,2025年12月中,瑶瑶突然感冒了,体温升到39℃多。当时以为是普通感冒发烧。服药后,瑶瑶顺利退烧便正常返校上课。
返校上课的第二天,瑶瑶的感冒发烧症状又复发了。服药十几分钟后,意外突然发生。“一下子就浑身发软,没了力气,说话也变得不正常。”王先生立即带着瑶瑶赶往医院急救。
抵达医院时,瑶瑶已陷入昏迷。当地医生紧急输液并呼叫救护车,将其送往上级医院ICU抢救。经过紧急抢救,瑶瑶终于清醒过来。医生诊断其为脑病,系脑病毒感染所致,病毒已侵入大脑。“人是醒了,只能勉强活动手脚,处于半昏迷状态。”为寻求进一步诊疗,王先生带着瑶瑶来到广东三九脑科医院。
专家:病毒感染后这些脑病症状需警惕
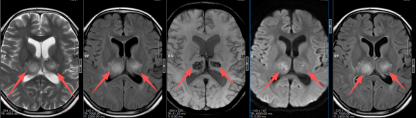
“入院时,立即转入了重症医学科。”该院神经内一科副主任匡祖颖接诊后,完善MR检查后发现患儿脑干、双侧丘脑、双侧基底节、右侧小脑、双侧顶叶区部分脑沟多发病灶,正规杠杆炒股平台最终诊断患儿是急性坏死性脑病。

入院时影像显示多发病灶
一鼎盈配资急性坏死性脑病是一种罕见且病情凶险的副感染性脑病,多见于儿童,常继发于普通病毒感染。“这种病前驱感染期多表现为发热、上呼吸道感染、呕吐等症状,容易被误认为是普通感冒。”广东三九脑科医院院长、神经内科专家王展航介绍,急性坏死性脑病多在起病后24-72小时内进入急性脑病期,表现为惊厥、意识障碍、局灶性神经功能紊乱,部分患者还会出现休克、多器官功能障碍等严重并发症;轻症患者可能完全恢复或仅留轻微后遗症,重症患者死亡率高,或留下四肢瘫痪、精神发育迟滞、癫痫等永久性神经功能损伤,甚至陷入植物状态。
“哪能想到病毒会侵入大脑啊!”王先生想起仍有些后怕。幸运的是,经过抗病毒、激素冲击、丙球等治疗后,瑶瑶已能走路、说话、进食。王先生笑着说,“她特别自律,每天早上6点准时醒来,主动做康复锻炼,拉伸、站立,一天比一天有进步。

走廊上,瑶瑶正在练习行走
冬春季是流感高发期,王展航提醒鼎泽配资,儿童免疫力相对较弱,病毒感染后若出现持续高烧、精神萎靡、手脚无力、意识模糊等异常症状,切勿掉以轻心,应及时就医排查,避免延误病情。
恒正网配资海悦配资港陆证券迎尚网配资辉煌优配瑞金资本提示:文章来自网络,不代表本站观点。